设备零部件供应  
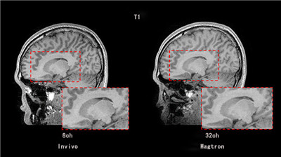
核磁共振高清三维32通道头部相控阵靶线圈 — 3.0T
医疗设备维修、医疗设备配件供应,回收二手医疗设备!13076080088(龙经理)
详细介绍

医疗设备配件供应:球管、线圈、探测器、彩超探头等,13076080088(龙经理)


 
 
合作品牌
                
友情连接:
阿里巴巴::https://scrayl.1688.com/
扫描加微信
联系信息

四川西德龙医疗科技有限公司

公司地址:成都锦江区经天一街37号附46号

电子邮箱:455010105@qq.com

联系电话:4000381698

联系电话:13982168931


联系热线
13982168931
网站导航
 

四川西德龙医疗科技有限公司@版权信息

网站备案号:蜀ICP备2020027904号-1

网站建设